









Leczenie, którego efekt prezentujemy, było dużym wyzwaniem dla naszego zespołu. Ale my lubimy wyzwania i chętnie staramy się im sprostać.




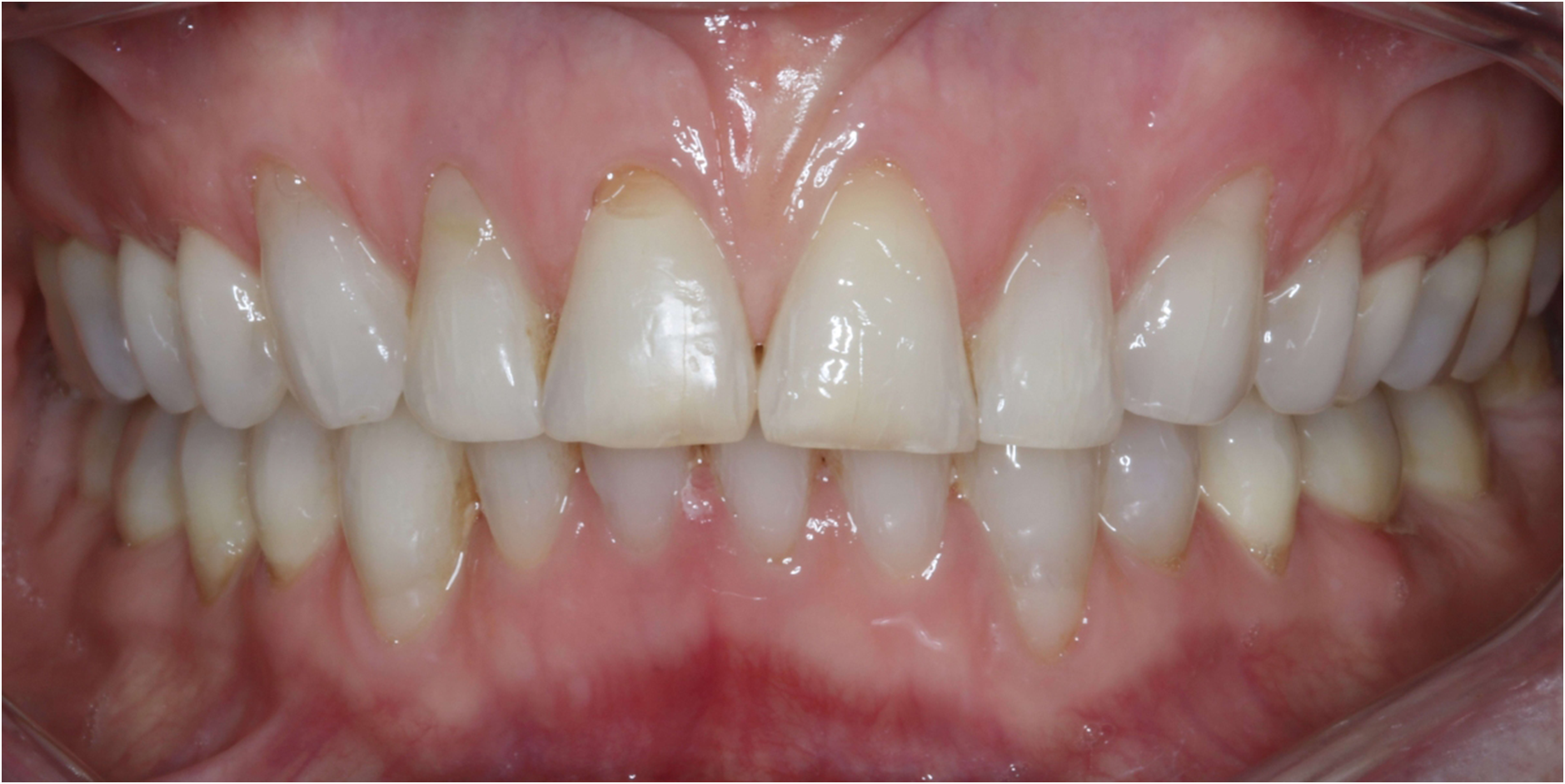
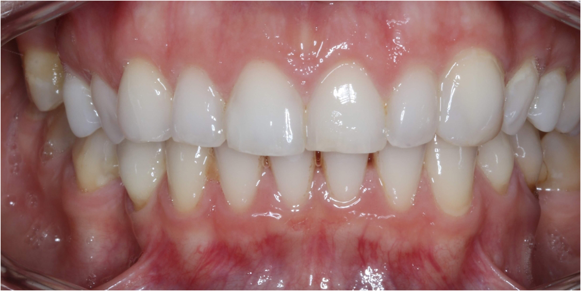
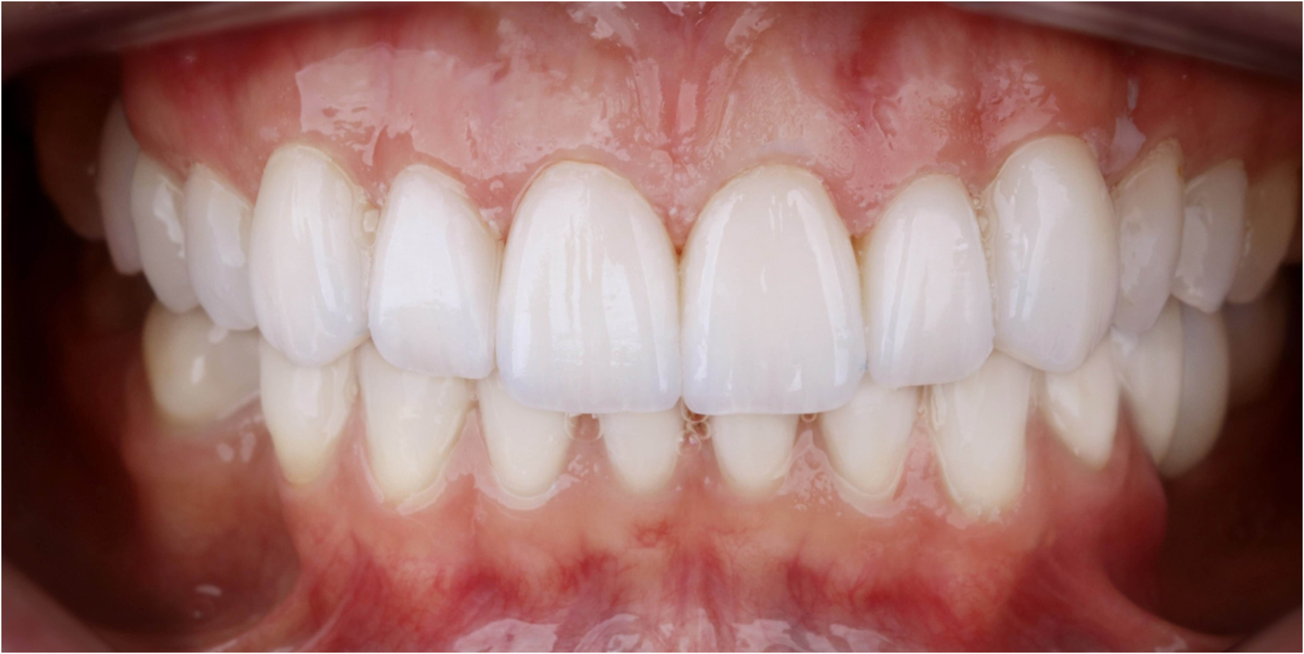
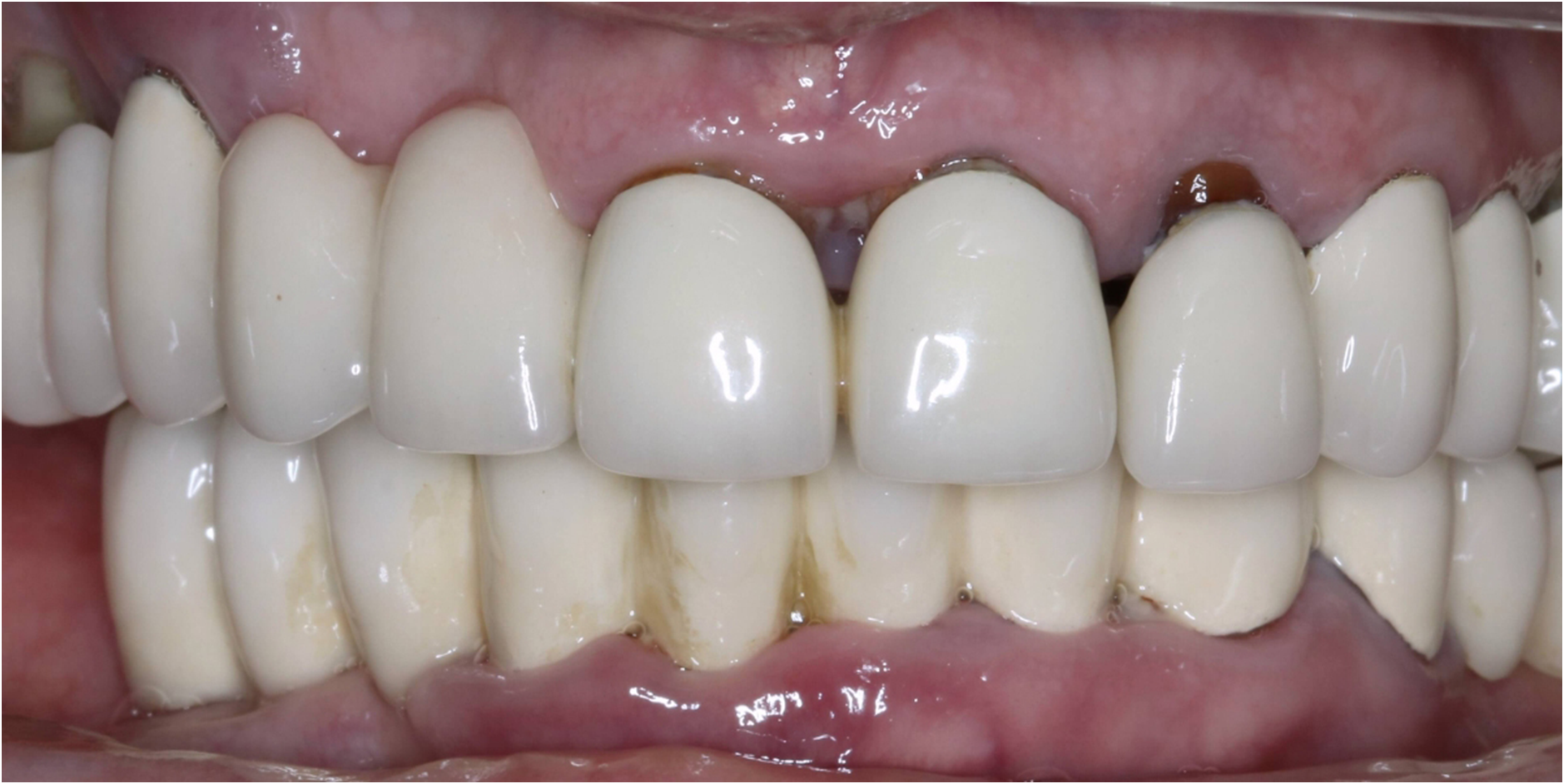
To było duże wyzwanie dla naszych lekarzy — wszak pacjentka jest dentystką, więc miała bardzo sprecyzowane oczekiwania.


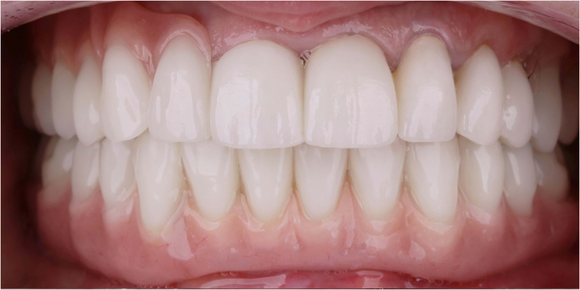
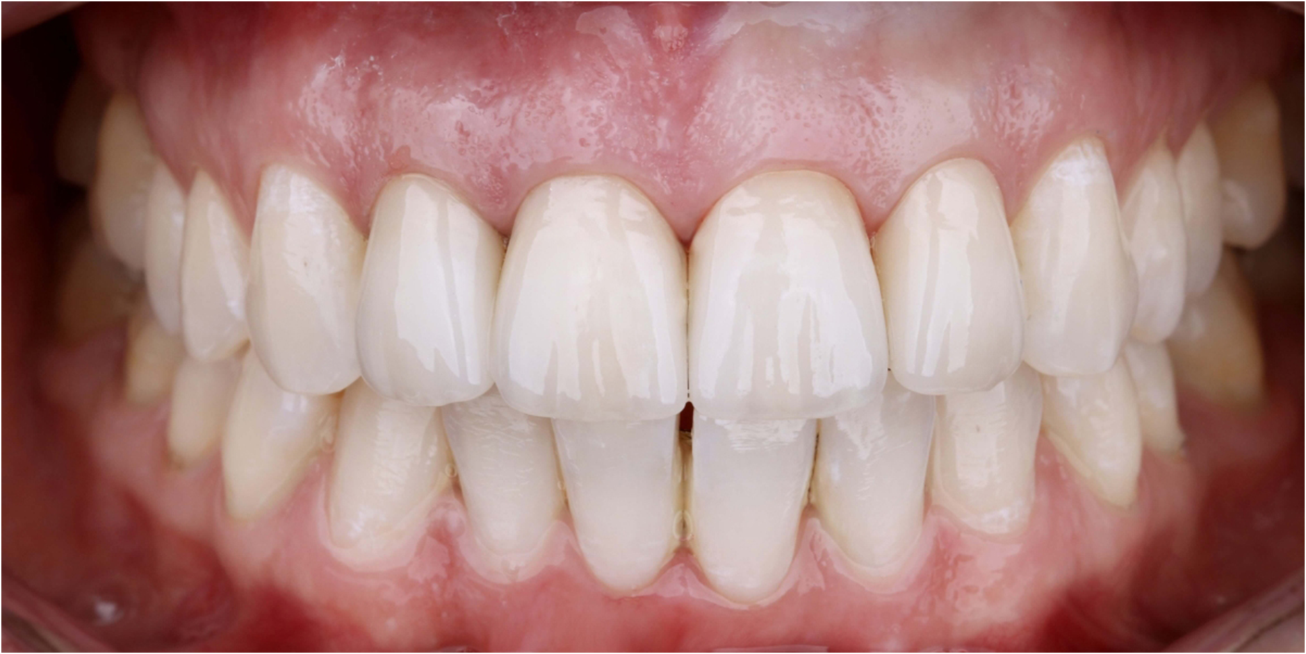
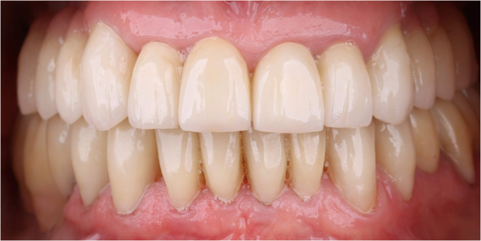
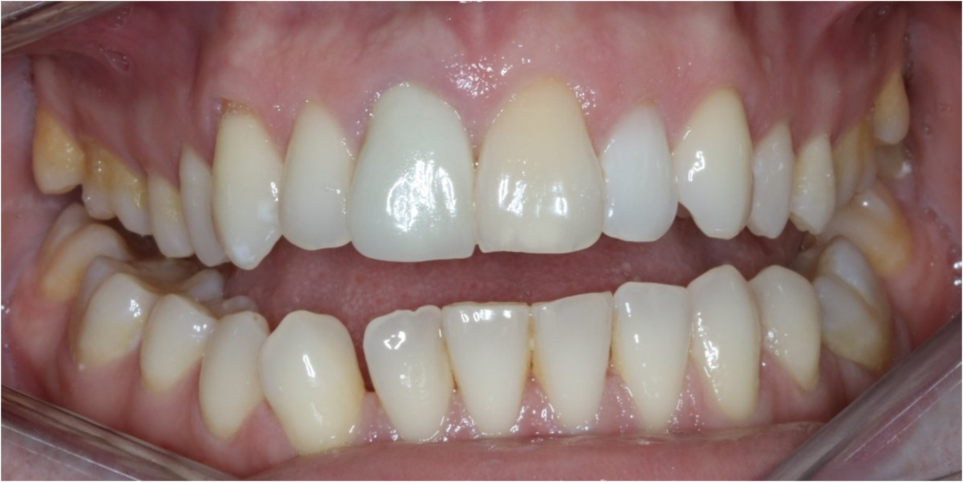
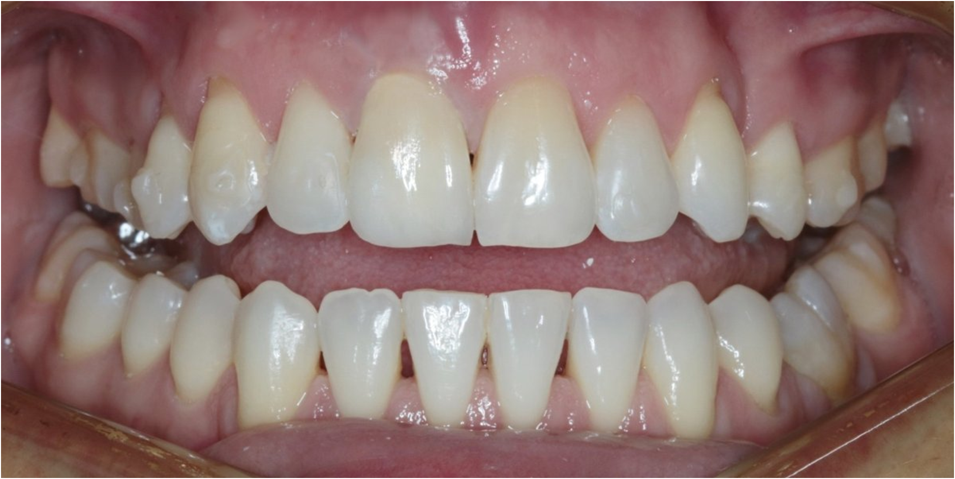
Po udanym leczeniu ortodontycznym doktor Tomasz Kupryś wykonał u pacjentki licówki oraz nakłady ceramiczne.
Gotowy na promienny uśmiech? Skontaktuj się z nami już dziś, aby umówić się na konsultację i rozpocząć swoją podróż do zdrowszego, piękniejszego uśmiechu.


Przedstawiamy metamorfozę, która jest spełnieniem marzeń naszej pacjentki. Cieszymy się, że wizyta w Warsaw Dental Center …


Kolejny piękny uśmiech zadowolonej pacjentki Warsaw Dental Center! Nie tylko pacjentki, także sztabu lekarzy i asystentek…


Marzeniem pacjentki, której metamorfozę̨ prezentujemy, była poprawa estetyki zębów przednich.


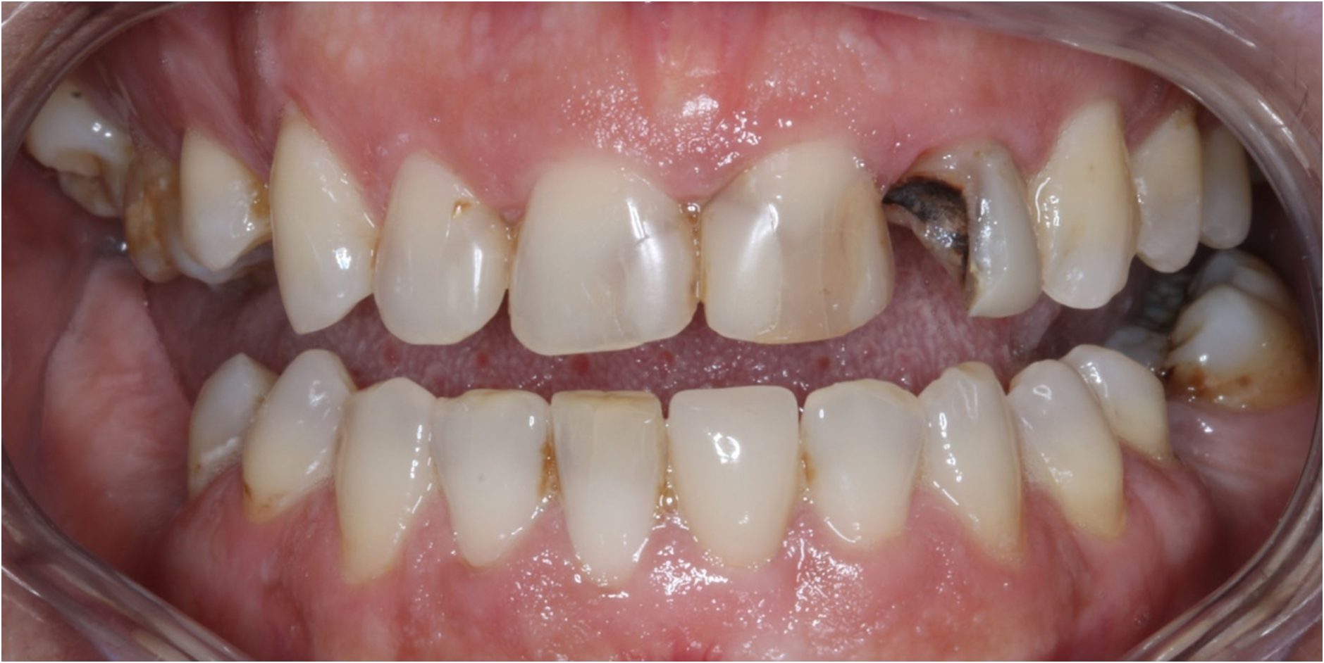
65-letni pacjent zapytany na pierwszej wizycie o wymarzony rezultat leczenia, odpowiedział: odzyskać swój naturalny uśmiech.


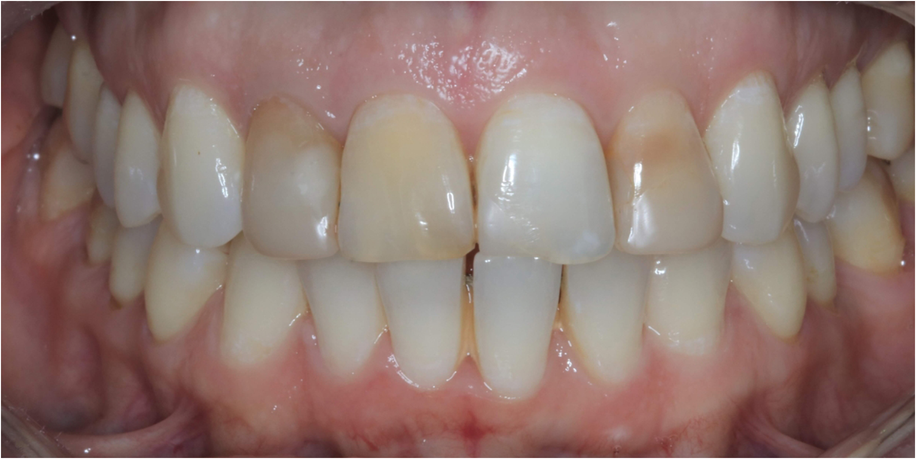
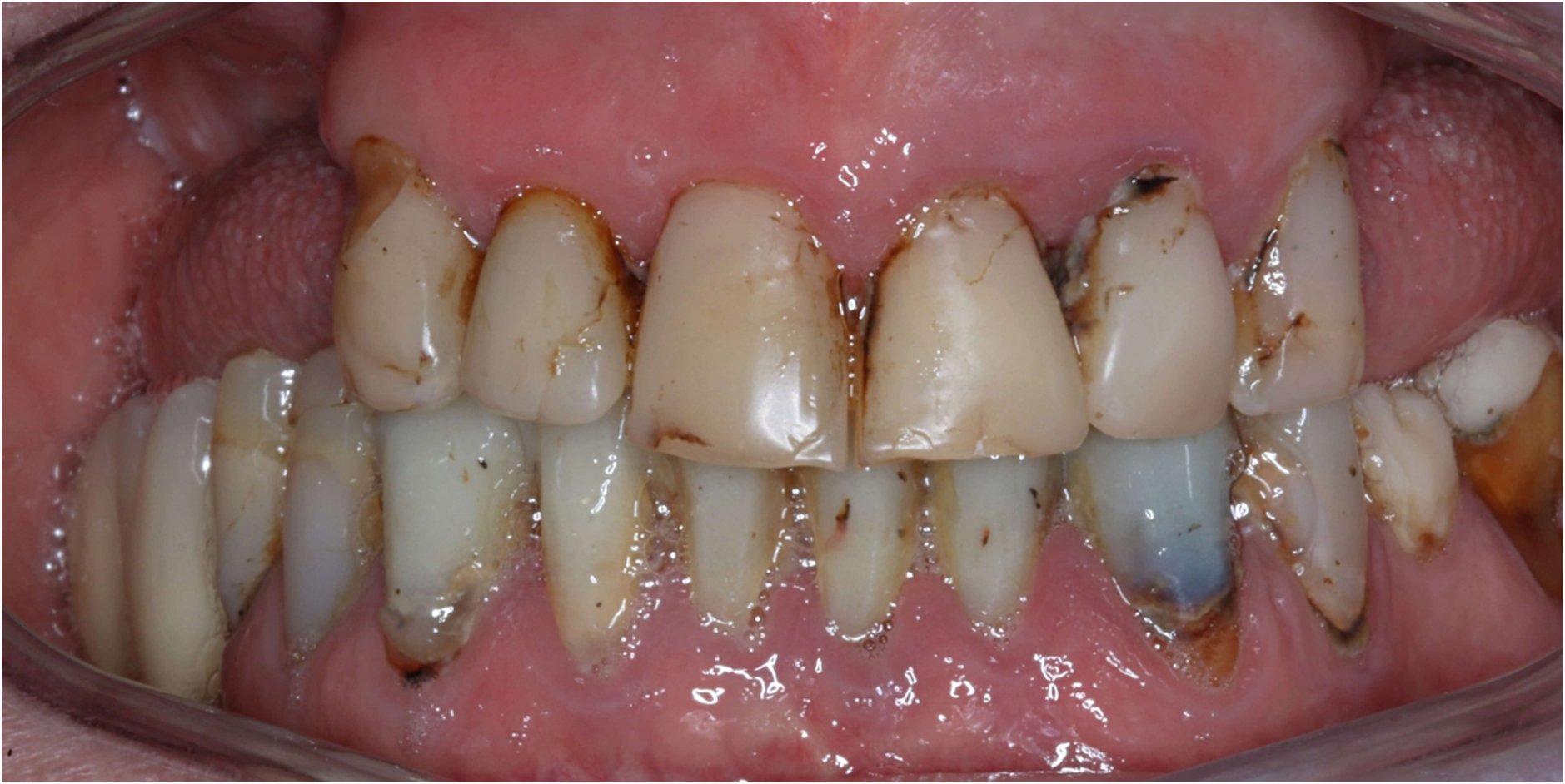
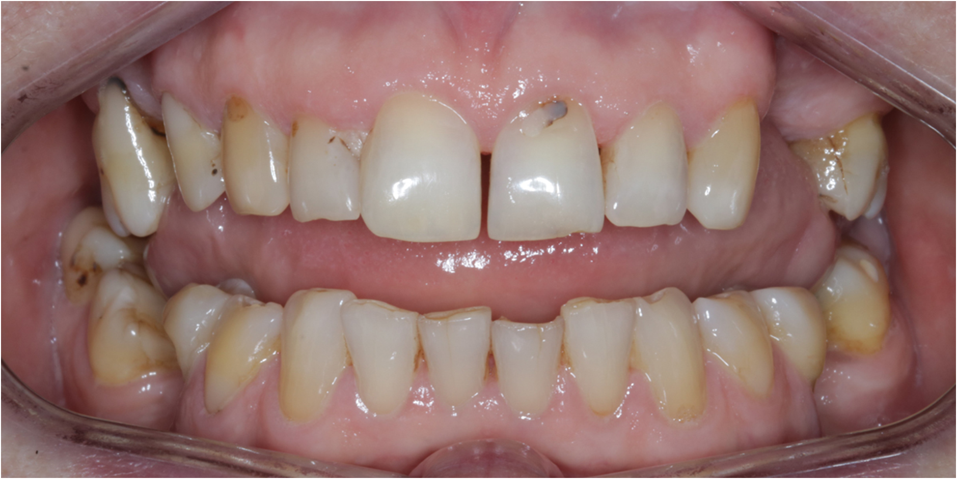
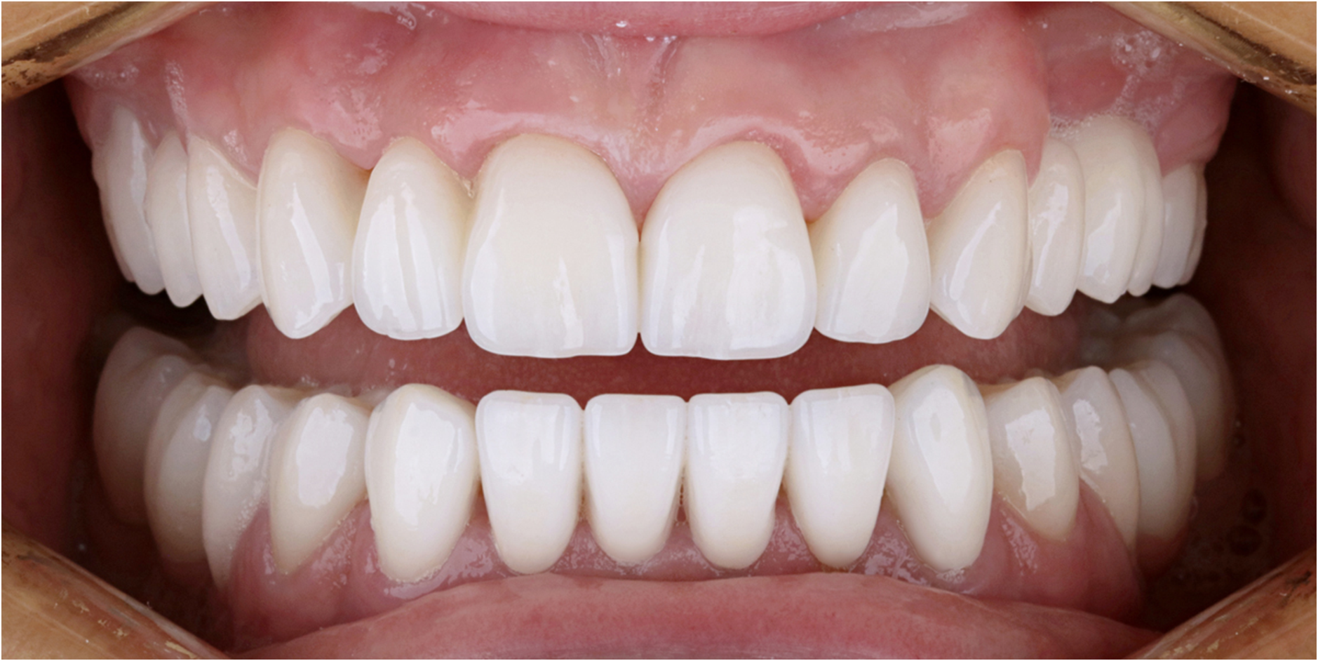
Do głównych problemów pacjentki, która zgłosiła się do kliniki, należały starte zęby, ich braki oraz niezadowalający kształt.


Leczenie pacjentki trwało długo — było to związane z jej niestabilnym stanem zdrowia (konsekwencja poważnego wypadku komunikacyjnego)…


Prezentujemy kolejną metamorfozę uśmiechu, która jest dziełem zespołu lekarzy Warsaw Dental Center!
Abhijit ChatterjeeTrustindex sprawdza, czy pierwotnym źródłem recenzji jest Google. I have been a patient of Warsaw Dental Center for the past two years. During this time I have had Invisalign treatment done by Dr Karolina, root canal done by Dr Urszula and implants done by Dr Bartosz. Every experience was positive. Doctors and staff speak English fluently or natively. They helped arrange and accommodate me on my multiple short visits from USA. So far I have recommended this clinic to multiple friends in USA and they have all been satisfied. I am updating this review after a year, my experience remains first class. Recommended with both thumbs up.Ogólna ocena Google4.8/5, na podstawie 391 opinii
Warsaw Dental Center Leończak Sp.k.
NIP: 1182180875
Wybierz, na ktore kategorie cookies wyrazasz zgode. Ustawienia mozesz zmienic w kazdej chwili.
Niezbedne cookies sa zawsze aktywne. Pozostale kategorie mozesz wlaczyc opcjonalnie.
Wymagane do podstawowego dzialania strony i bezpieczenstwa.
Umozliwiaja dodatkowe funkcje i personalizacje.
Pomagaja mierzyc ruch i poprawiac dzialanie serwisu.
Uzywane do reklam, remarketingu i pomiaru kampanii.