

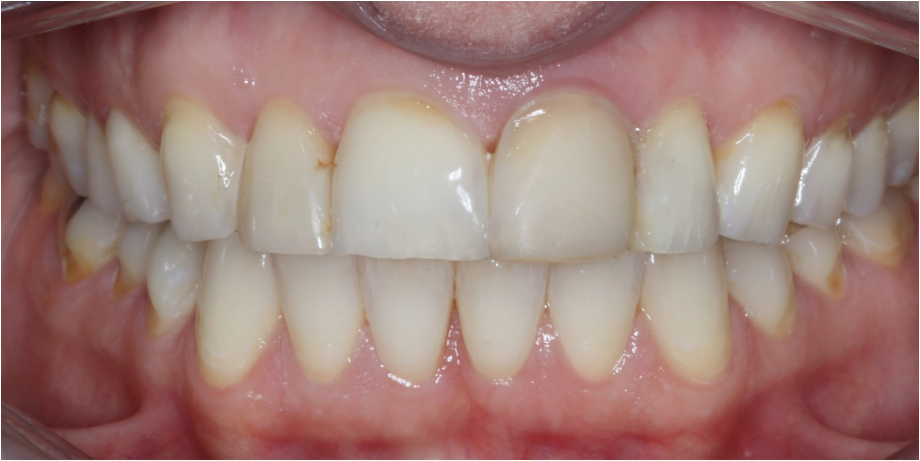
Before
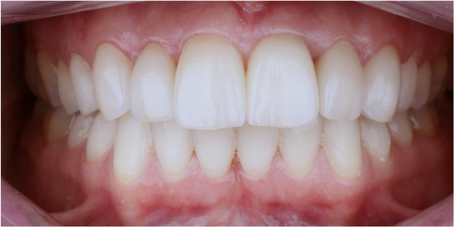
After
It was a big challenge for our doctors – after all, the patient is a dentist, so she had very specific expectations.
They managed to fulfill them, and the results of the efforts of the Warsaw Dental Center team are presented in this metamorphosis.
How was the treatment?
We started it with a thorough diagnostics, which aims to assess the condition of the patient’s teeth and is also helpful in creating an action plan.
The biggest problem turned out to be a vertical fracture of the upper left side.
Therefore, the surgeon ordered immediate implantation on the day of extraction, so as not to expose the patient to discomfort resulting from the loss of smile aesthetics.
She wanted her teeth to look as natural as possible.
After preparing the project (wax up), a decision was made to prepare the teeth minimally (they are pathologically worn anyway).
The lower jaw and lateral maxillary teeth were rebuilt with composite (bonding, flow injection method – without tooth grinding).
The front teeth of the jaw were covered with veneers and a crown on an individual connector on an implant.